.
eye
啤酒企业的

眼睛

随着国内精酿啤酒工业的迅猛发展,精酿啤酒企业、啤酒屋,如雨后春笋般涌现,所以精酿啤酒市场的竞争也日益激烈,市场竞争的本质就是产品质量的竞争。为使消费者能喝到满意优质的啤酒,啤酒企业的化验工作当然也就成了保障啤酒质量的重要工作,它不仅有力地保障产品质量,而且对提高产品质量也能起到促进作用。化验工作实质就是啤酒企业的“眼睛”。随着市场消费需求的升级,啤酒产品要想从众多产品中脱颖而出,化验工作应该提到议事日程。
今儿小编就跟大家一起分享啤酒企业化验室的相关工作。






一、酿造水的检测
水是啤酒酿造中重要的原料之一。水质的好坏直接影响着啤酒的口味,因此水质的检测是至关重要的。一般来说能饮用的水,都可酿造啤酒,但是有些水虽然达到了饮用条件,但是要想酿造良好的啤酒还需要进行处理。
酿造用水,应该定期检测,首先符合普通卫生的要求,其次要测定生产用水的感观特征——色泽、澄清度、气味和口味, 另外还要测定水的pH值、总硬度、碱度、残余碱度、含氧量、总残留物、游离氯含量以及一系列阳离子和阴离子量,根据以上指标对水质进行评价。
二、原料麦芽的检测
麦芽是啤酒酿造中另一重要原料之一,要酿制良好的啤酒,必须使用优良的麦芽。选用的麦芽需进行含夹杂物、水分、粗细粉差、糖化时间、麦汁粘度、麦汁煮沸后色度(煮沸色度)、α-氨基氮、库尔巴哈值、糖化力等的测定。
三、酒花和酒花制品检测
整酒花经干燥压紧密封包装需进入冷库贮存备用,禁止存放在室温或更热的地方,以防氧化。有的酒花产地直接加工成颗粒或片状酒花,装在塑料袋抽成真空或充入惰性气体,以便较长时间的贮藏和便于运输。无论是整酒花或是已加工成颗粒或片状的酒花,均要测定其水分及α-酸的含量。如有可能在化验室中也要增加测定β-酸的部分,来换算苦味值,从其结果可计算出酒花用量,以达到确定啤酒苦味、保持啤酒苦味的一致性。
四、糖化麦汁及洗糟水检测
煮沸结束后的麦汁,需测定浸出物含量、转化糖、pH值和色泽。另外,糖化强度、苦味质含量以及粘度,这些分析结果可提供给有关技术部门或糖化室,可以得出糖化室的收得率,麦芽质量、酵母繁殖、啤酒苦味以及最后产品的泡沫和蛋白质稳定性。冷却后的麦汁(在添加酶母之前)要测定麦汁中含氧量。洗糟的水要测定浸出物含量和pH值,对糖化室工作的监测是很重要的。
五、啤酒发酵和后发酵的检测
每天检查发酵液中酵母细胞数、外观浸出物,在封罐后降温前取样测定外观最终发酵度、pH值、苦味质含量和连二酮。
在降温后熟过程中要每天检查二氧化碳含量及外观浸出物,在过滤之前再测定连二酮、粘度和可过滤性以及含氧量。为保证出厂产品合格,还必须根据标准测定酒精、剩余浸出物,由计算而得的原麦汁浓度,发酵度以及色度、总酸、pH值、二氧化碳含量,如发现某项不符合标准,应及时采取措施加以调整。
六、成品啤酒检测
将已灌装的成品啤酒,根据不同产品的标准测定酒精、剩余浸出物,由计算而得的原麦汁浓度、发酵度以及pH值、色度、总酸、二氧化碳含量、苦味质、连二酮、泡持性、含氧量和浑浊试验,与此同时再取若干样品作保存试验,以观察保存期。
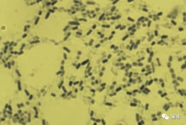
七、微生物的检测
酿造车间的微生物控制在整个生产过程中占有很重要的地位,但是很多啤酒厂重视度还不够。从冷却麦汁开始到啤酒成熟灌装杀菌后,都有被杂菌污染的机会,污染杂菌会导致发酵不正常、产品有酸味异味,因此需要微生物学的检测。啤酒酿造过程中污染的细菌大致是乳酸菌、醋酸菌、变异杆菌、大肠菌以及其他野生酵母等,一旦发现有污染如发酵异常、口味不正等即要使用不同的培养基,取样来证实,采取措施,加以控制。




建议啤酒企业负责人以及技术工作者,高度重视啤酒企业的“眼睛”,并逐步将其作用由原来简单的化验工作转为规范性的质量控制体系 , 不仅要对最终的成品啤酒进行检测 , 还要对过程中各种原辅材料 、半成品、微生物控制等检验 , 并建立一套完整的质量监控体系,使其有力地保障产品质量,持续保持企业的产品优势,提高企业竞争力。

澜
埔
酿造技术咨询电话

13287763383 15662693113

zw-lab
微信号|zw-lab

